Il trattamento endodontico o trattamento canalare
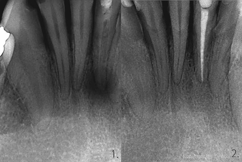
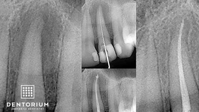
Il trattamento endodontico o trattamento canalare è necessario quando la polpa dentale è danneggiata dalle infezioni batteriche dalla carie o da trauma del dente.
La cura si fa in tre fasi/visite:
- pulizia, allargamento e disinfezione del canale, somministrazione della medicina
- l’estrazione della medicina dentale, otturazione dei canali radicolari
- ricostruzione con il perno e otturazione dentale
Il trattamento corretto permette il funzionamento ulteriore del dente senza pericolo per salute orale o generale del paziente. Eseguito in anesstesia locale.
Immediamente dopo il trattameneto si procede con RVG controllo del canale trattato.
A Dentorium tutti trattamenti canalari si fanno con il microscopio.
Il prezzo totale dipende dai numeri di canali del dente
La pulizia e otturazione del canale radicolare e' 61€. In più si aggiunge per il perno e otturazione dentale.
Vedi l'elenco completo dei nostri servizi.






