la nostra paziente Suzana V.

Pazienti – Dentorium Studio dentistico: Suzana V.

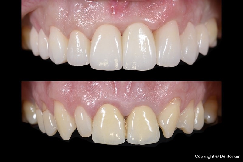
Complessa riabilitazione funzionale ed estetica

Con l’aiuto di DSD – Digital Smile Design abbiamo ricavato le misure esatte:

Il piano di trattamenti in ordine cronologico:

  • l’estrazione del dente fratturato e il carico immediato della corona provvisoria su impianto dentale
  • Lo sbiancamento dentale
  • Corone in ceramica integrale su impianto dentale con le sovrastruttura individuale in ossido di zirconio
  • Corone in ceramica integrale

Con la perdita dei denti nella zona estetica (parte anteriore) la sfida maggiore è il mantenimento dei tessuti molli, cioè la gengiva circostante. Per motivi di limitati risorse del tessuto, un piano preciso e prevedibile è di fondamentale importanza. Di grande importanza, nel caso di Suzana, era stabilire una correta funzione, con la quale come consequenza abbiamo ricevuto l’estetica di sorriso.

Il caso di: Dott. Daniel Zgombic, dott.ssa odontoiatra Tijana Brajkovic Cindric

Technici: DentalInPuls (Mauro Ahmić, Sandi Trkulja)

Sapete quel sentimento quando volete qualcosa nella vita ma ogni volta la rinviate? Poi vedete le foto bellissime di pazienti contenti e sorridenti e pensate dentro di se: “…si voglio anch’io un sorriso come quello. “ E’ incominciata cosi la mia storia con lo studio dentistico Dentorium. Sono partita all’istante con una sensazione vera che si rivelo giusta subito dopo la prima visita quando dott. Daniel mi ha presentato il Digital Smile Design. Sapevo di essere nel posto giusto e nelle mani giuste. Come è stato promesso, cosi è stato realizzato, bellissimi denti, sorriso smagliante ed io tutta nuova.

Un team ottimo, dottoressa Tijana, Mia ed Ana. Tante risate ed incoraggiamenti che a momenti dimenticavo dove mi trovavo. Alla reception vi attende Martina, sempre sorridente e professionale, alla quale potete chiedere mille domande, ti ringrazio cara.

Dott. Daniel che ama il suo lavoro, si dedica completamente al paziente, con l’occhio per il minimo dettaglio, vi guida fino ad un sorriso perfetto. Per scacciare la paura che uno sente, racconta pure storie interessanti.

Ambiente piacevole con bellissima musica in sottofondo.

E alla fine la “mia” Mihaela, lei e’ il ZEN del Dentorium, grazie per avermi incoraggato, per aver creduto in me e per tanti abbracci.
GRAZIE A TUTTI, SIETE MERAVIGLIOSI!!!

Suzana V.

Articolo correlato:

ispirati dalla bellezza della natura