la nostra paziente Suzana

Pazienti – Dentorium Studio dentistico: Suzana

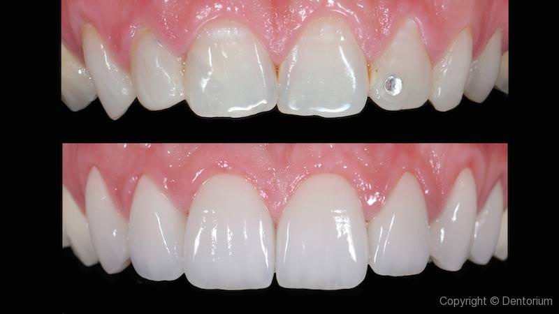
Il caso estetico

Pianificato con DSD – Digital Smile Design.

L’armonia della estetica rosa (le linee gengivale) e´ stata realizzata con la gengivoplastica.

A causa di profonde lesioni cariose, corone in ceramica sono state la scelta come soluzione finale.

Prima di finalisazione del trattamento, dopo otturazioni e la cura, abbiamo fatto sbiacamento dei denti.

Il caso di: dott. Daniel Zgombic, dott.ssa Tijana Brajković – Cindrić

Il tecnico dentale: Sandi Trkulja (Dental InPuls)

Articolo correlato:

ispirati dalla bellezza della natura