la nostra paziente Sanja B.

Pazienti – Dentorium Studio dentistico: Sanja B.

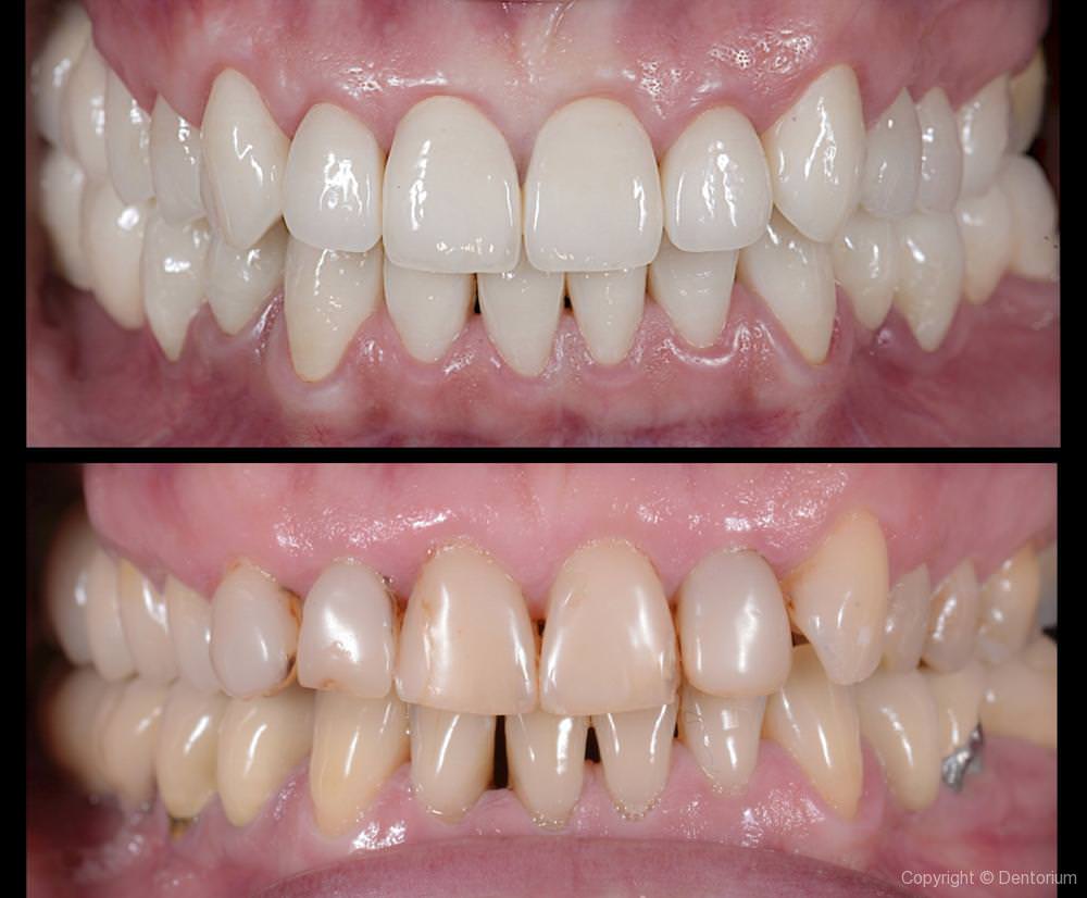
La riabilitazione totale, funzionale ed estetica

Il caso e le fasi di lovoro sono pianificati con DSD – Digital Smile Design. (wax up e mock up video sotto mostra la prova del lavoro finale prima dell’inizio della terapia).

La terapia guidata ha incluso:

Il sorriso di Sanja e’ diventato più sano e più luminoso.

Il caso di: dott. Daniel Zgombic, dott.ssa Tijana Brajković – Cindrić

Technico: Studio dentale Goran i Borko

KPG: Mihaela Blažević

Dopo un anno di ricerca, ho scelto Dentorium per il mio make-over. Dr. Zgombic e' una persona semplice, chi sa come ascoltare, e risponde semplicemente nelle tutte vostre domande, dedicato al paziente totalmente, e vi sentite importanti. Presto ho ricevuto fiducia, e eccomi dopo 10 mesi, sono piena di splendore. I miei denti sono sani, felici and meravigliosi. Il mio sorriso rimarrà intatto con tempo. Per tutti chi desiderano il sorriso, no solo i denti, Dentorium e il posto perfetto.

Sanja B.

Articolo correlato:

ispirati dalla bellezza della natura