il nostro paziente Rijad

Pazienti – Dentorium Studio dentistico: Rijad

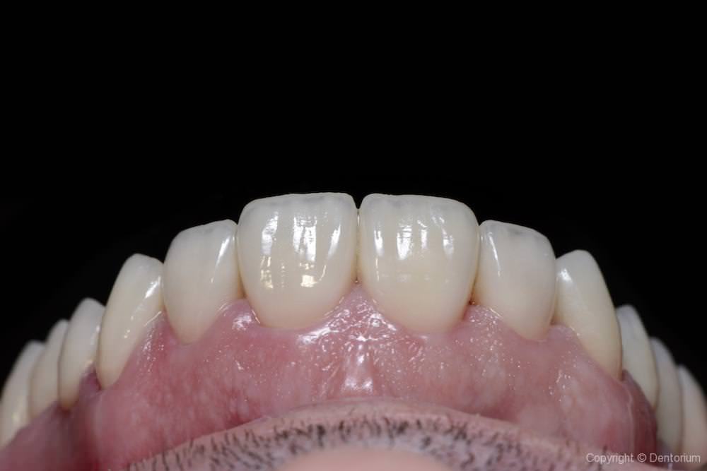
La riabilitazione complessa, funzionale ed estetica

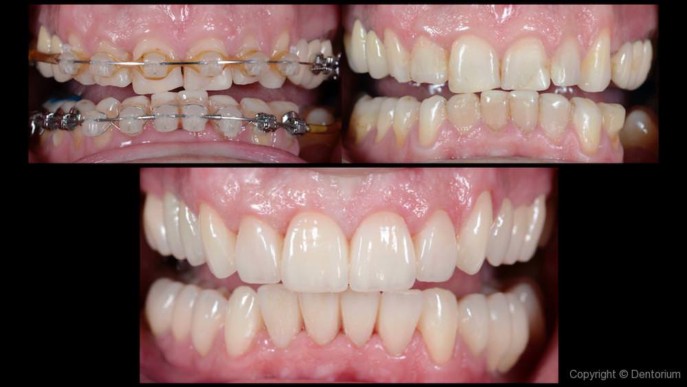
Prima di cominciare con lavoro protesico, il paziente ha avuto la terapia ortodontica.

Il caso pianificato con DSD ( Digital Smile Design), wax up e mock up. (Il video sotto, la prova prima d’inizio della terapia.)

Wax up funzionale, in RC (relazione centrica) ha dato le soluzione finale per la mascella intera, e le fasi di lavoro. La terapia guidata ha incluso:

Con la fine del caso abbiamo ricevuto l l’armonia della funzione ed estetica di sorriso.

Il caso di: dott. Daniel Zgombic

Il technico dentale: DentalInPuls (Mauro Ahmić, Sandi Trkulja)

Ortodontista: dott. sc. Silvio Ferreri, dott. dent.spec. ortodontista

Articolo correlato:

ispirati dalla bellezza della natura