la nostra paziente maša

Pazienti – Dentorium Studio dentistico: Maša

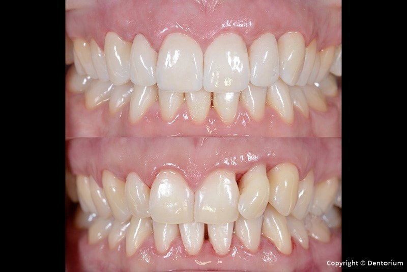
Complessa riabilitazione estetico parodontale

La terapia e fasi di lavoro sono pianificate con Digital Smile Design – DSD.

Il video di sotto mostra il mock up / simulazione di sorriso futuro, con il quale abbiamo controllato le nuove posizioni dei denti e le misure per la gengivoplastica.

Le fasi di lavoro in fila cronologica:

Un ecellente esempio di trattamento parodontale guidato, e la microchirurgia parodontale guidata dove l'obiettivo è stato la conservazione dei tessuti molli e quelli ossei, con un risultato estetico armonioso e naturale.

Il caso di: Dott. Daniel Zgombic, dott.ssa odontoiatra Tijana Brajkovic Cindric

Technici: DentalInPuls (Mauro Ahmić, Sandi Trkulja)

Articolo correlato:

ispirati dalla bellezza della natura