la nostra paziente Maja

Pazienti – Dentorium Studio dentistico: Maja

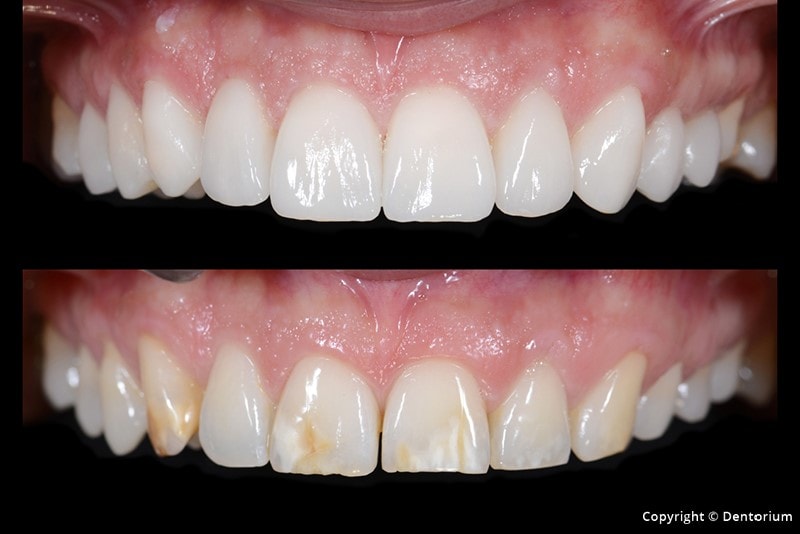
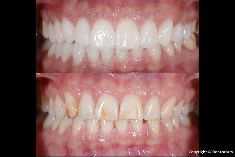
Riabilitazione estetica

Il problema è stato la discolorazione e l’abrasione dei denti.

Il caso è pianificato con DSD – Digital Smile Design. Il video sotto rappresenta la prova del soluzine finale (mock up) prima dell inizio di terapia.

Le fasi di lavoro:

Vantaggio delle riabilitazioni estetiche sono l’approccio minimamente invasivo, corto periodo della terapia con un risultato estetico eccezionale.

Il caso di: Dott. Daniel Zgombic, dott.ssa odontoiatra Tijana Brajkovic Cindric

Laboratorio odontotecnico: DentalInPuls (Mauro Ahmić, Sandi Trkulja)

Dopo alcuni anni di riflessione, ho deciso di lasciarmi con completa fiducia nelle mani del dott. Žgombić, per regalarmi un nuovo sorriso.
La paura è svanita con l’entrata nello studio Dentorium dove mi hanno accolta con sinceri sorrisi. Un livello indescrivibile di professionalità, precisione e dedizione con una rilassante e sincera cordialità, mi hanno dato una radiante felicità.
Ammetto che mi manca il venerdi al Dentorium; il tempo è semplicemente volato, senza alcun dolore e posso dire che veramente mi divertivo durante tutto il periodo nel quale nasceva una nuova persona, io.
Grazie di cuore a Daniel e a tutto lo team Dentorium, per sempre vostra!

Maja

Articolo correlato:

ispirati dalla bellezza della natura