la nostra paziente Jelena

Pazienti – Dentorium Studio dentistico: Jelena

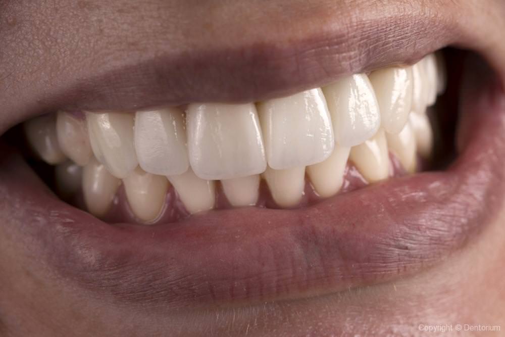
La riabilitazione estetica e protetica

Pianificato con DSD – Digital Smile Design.

Workflow ha incluso le fasi successive:

Il caso di: dott. Daniel Zgombic, dott.ssa Tijana Brajković – Cindrić

Laboratorio dentale: DentalInPuls (Mauro Ahmić, Sandi Trkulja)

Articolo correlato:

ispirati dalla bellezza della natura