la nostra paziente iva

Pazienti – Dentorium Studio dentistico: Iva

Complessa riabilitazione estetica

Terapia guidata, con l'approccio minimo invasivo.

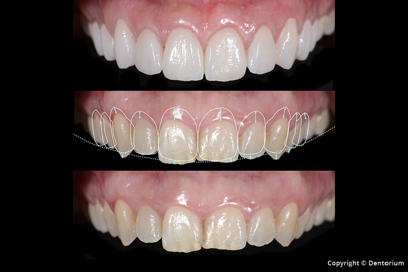
Il caso è pianificato con DSD – Digital Smile Design. Il video sotto rappresenta la prova della soluzine finale (mock up) prima dell'inizio della terapia.

Con l’aiuto del DSD abbiamo ricavato le misure esatte per la futura posizione e la forma dei denti, con indicate le fasi di lavoro.

La naturalezza del nuovo sorriso ha dato al volto di Iva il potere dell' equilibrio ed armonia, ed una completamente nuova esperienza estetica. Dentro e fuori.

Il caso di: Dott. Daniel Zgombic, dott.ssa odontoiatra Tijana Brajkovic Cindric

Technici: DentalInPuls (Mauro Ahmić, Sandi Trkulja)

Dopo molti ripensamenti, ecco, pure io mi sono decisa a fare il Digital Smile Design, senza dubbi nella scelta dello studio dentistico, sapendo che mi aspetta un risultato splendido. Pero', nessuno ha potuto immaginare che le visite dal dentista saranno divertenti. Team straordinario, servizio straordinario, risultato straordinario. Grazie per il sorriso che non scende dal mio viso!

Iva

Articolo correlato:

ispirati dalla bellezza della natura