la nostra paziente Irena

Pazienti – Dentorium Studio dentistico: Irena

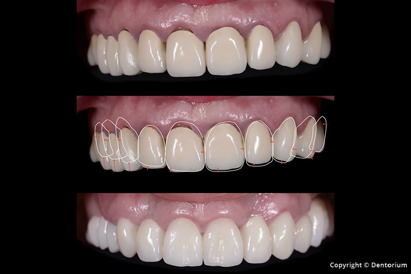
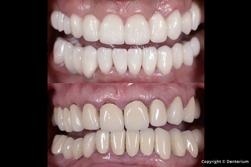
La riabilitazione totale, funzionale ed estetica

Il caso pianificato con wax up funzionale e mock up, guidato con DSD – Digital Smile Design.

La terapia ha incluso:

Con estetica del sorriso abbiamo anche ricevuto l’armonia tra biologia, funzione ed estatica.

Il caso di: dott. Daniel Zgombic

Laboratorio dentale: Goran i Borko (Goran Turina)

Articolo correlato:

ispirati dalla bellezza della natura