il nostro paziente Ino

Pazienti – Dentorium Studio dentistico: Ino

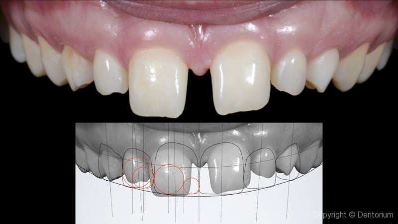
Il caso estetico e ortodontico

Pianificato con DSD – Digital Smile Design, wax-up, and mock-up.

L’approccio multidisciplinare ha incluso la prossima terapia:

Lo sbiancamento dei denti abbiamo fatto prima di lavoro definitivo.

La diastema chiusa, e ricevuta l’armonia funzionale ed estetica del sorriso di Ino.

Il caso di: dott. Daniel Zgombic

Il technico dentale: DentalInPuls (Mauro Ahmić, Sandi Trkulja)

Ortodontia: dott. Srdjan Marelic ( Ortodontia Marelic)

Articolo correlato:

ispirati dalla bellezza della natura