la nostra paziente Helena

Pazienti – Dentorium Studio dentistico: Helena

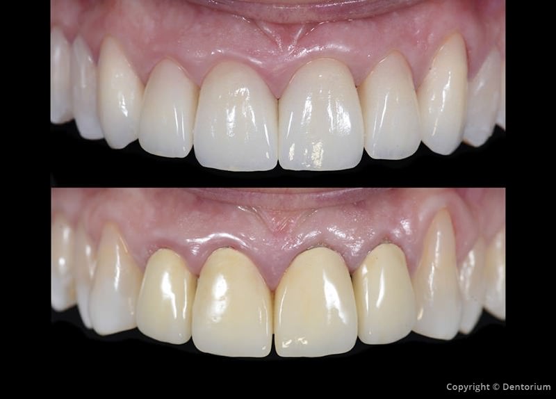
Ribilitazione estetica. (la sostituzione delle corone vecchie)

Il caso pianificato con DSD – Digital Smile Design.

Le fasi di lavoro:

Abbiamo ricevuto un effetto di sorriso più naturale e fresco.

Il caso di: dott. Daniel Zgombic

Laboratorio odontotecnico: Dental InPuls (Mauro Ahmic, Sandi Trkulja)

Articolo correlato:

ispirati dalla bellezza della natura