il nostro paziente Gordan

Pazienti – Dentorium Studio dentistico: Gordan

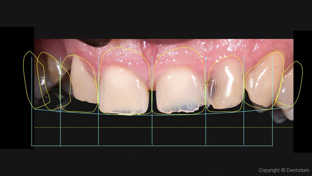
La riabilitazione funzionale ed estetica

Il caso pianificato con DSD ( Digital Smile Design), wax up funzionale e mock up. La terapia guidata ha incluso:

Con estetica del sorriso abbiamo anche ricevuto l’armonia tra biologia, funzione ed estatica.

Il caso di: dott. Daniel Zgombic, dott.ssa Tijana Brajković – Cindrić

Technico dentale: Goran Turina

Articolo correlato:

ispirati dalla bellezza della natura