la nostra paziente danijela

Pazienti – Dentorium Studio dentistico: Danijela

Complessa riabilitazione funzionale, protetico – estetica

Complessa riabilitazione funzionale, protetico – Sorridere e nondire nulla, è un discorso tra cuore e anima

Danijela

Il caso e' stato pianificato con Digital Smile Design – DSD con il quale abbiamo determinato il futuro design del sorriso e le fasi di lavoro. Il video di sotto mostra la prova del lavoro definitivo (mock up) prima dell' inizio della terapia.

Il piano di lavoro includeva la fase sanitaria, chirurgica e protetica:

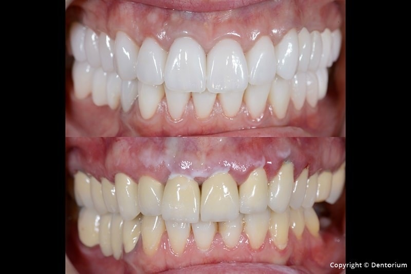
I vecchi ponti e le corone inadeguate hanno portato all'infiammazione delle gengive (tessuti molli).

Una delle sfide e l’obiettivo di questa terapia era di ripristinare l'aspetto sano e naturale della gengiva (estetica rosa) che partecipa ugualmente all'estetica del sorriso come le corone in ceramica.

Con la soluzione finale, abbiamo raggiunto l'armonia della biologia, funzioni e dell'estetica, ottenendo così una stabilità a lungo termine e il risultato con il quale siamo estremamente soddisfatti.

Il caso di: Dott. Daniel Zgombic, dott.ssa odontoiatra Tijana Brajkovic Cindric

Laboratorio odontotecnico: Dental InPuls (Mauro Ahmić, Sandi Trkulja)

La bellissima ed esperta squadra di Dentorium mi ha aiutato ad esprimermi nel futuro, attraverso un sorriso che incanterà tutti. Non posso descrivervi la mia felicità per questo, né esprimervi quanto vi raccomando la squadra Dentorium.

Quindi, solamente vi sorriderò con il mio splendido sorriso dal quale sentirete tutte le mie emozioni.

Ed ancora una volta un grande grazie a Dentorium!

Articolo correlato:

ispirati dalla bellezza della natura