caso clinico 1

Pazienti – Dentorium Studio dentistico:
Caso Clinico

Complessa riabilitazione estetica

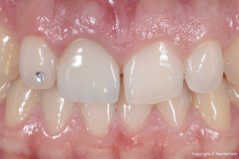
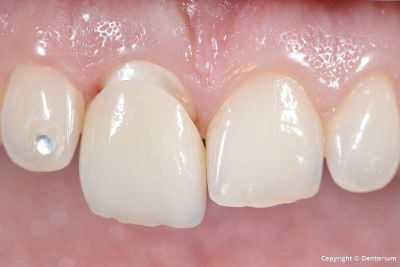
In questo caso il problema e’ stato la frattura verticale del dente incisivo, che significa la perdita del dente. L’obiettivo in casi simili e’ sempre la conservazione dei tessuti molli e quelli ossei, con un futuro risultato estetico completamente naturale.

La terapia e le fasi di lavoro sono pianificate con l'aiuto del Digital Smile Design – DSD.

Le fasi di lavoro in fila cronologica:

La perdita dei denti incisivi, zona estetica, rappresenta sempre una sfida e richiede un piano di terapia preciso e prevedibile, sopratutto per il fatto che il tessuto e' una risorsa limitata. Con il piano di terapia desideriamo sempre minimizzare il trauma, e con la futura soluzione estetica lasciare l'impressione naturale dell'intatta armonia del sorriso.

Il caso di: Dott. Daniel Zgombic, dott.ssa odontoiatra Tijana Brajkovic Cindric

Technici: DentalInPuls (Mauro Ahmić, Sandi Trkulja)

Articolo correlato:

ispirati dalla bellezza della natura