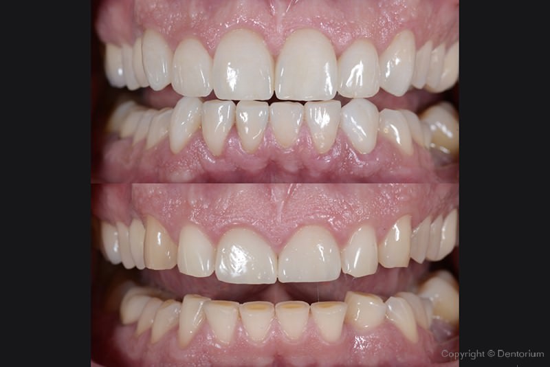
il nostro paziente Bela

Pazienti – Dentorium Studio dentistico: Bela

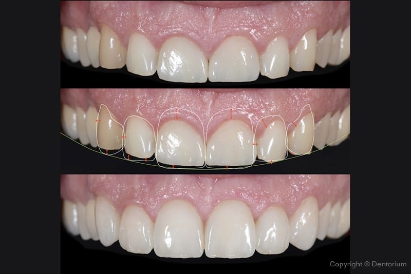
Riabilitazione funzionale e protetica

Il caso è pianificato con DSD – Digital Smile Design.

La terapia guidata ha incluso:

Spesso, l’estetica viene come una conseguenza della funzione restaurata.

Il caso di: dott. Daniel Zgombic

Laboratorio dentale: Goran i Borko

Articolo correlato:

ispirati dalla bellezza della natura