la nostra paziente Aleksandra

Pazienti – Dentorium Studio dentistico: Aleksandra

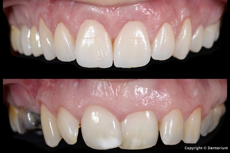
Riabilitazione estetica e funzionale con corone in ceramica ed impianti dentali

Il caso è pianificato con DSD – Digital Smile Design. Il video sotto rappresenta la prova del soluzine finale (mock up) prima dell inizio di terapia.

Il piano di lavoro includeva le seguenti fasi: quella sanitaria, chirurgica e protetica:

Nel sorriso di Aleksandra abbiamo ottenuto l’armonia completa tra biologia, funzione ed estetica.

Il caso di: Dott. Daniel Zgombic, dott.ssa Tijana Brajkovic Cindric

Laboratorio odontotecnico: DentalInPuls (Mauro Ahmić, Sandi Trkulja)

Carissima squadra di Dentorium! Diccono che certe persone entrano nella vita con raggione, cosi anch' io sono entrata nell'ordinazione di Dentorium, pero' nello stesso momento voi siete entrati nella mia vita regalandomi un sorriso piu' sano e piu' bello. Ho conosciuto una squadra meravigliosa, professionale , piena di un entusiasmo contagioso che diffondono attorno a se. Per questo vorrei ringraziare il dr. Danijel Zgombic, la dr. Tijana Brajkovic-Cindric, le infermiere Ana e Mia, l' esperta di foto Martina e te cara Mihaela. Continuate a diffondere il sorriso tra la gente!”

Aleksandra

Articolo correlato:

ispirati dalla bellezza della natura